ಮೆದುಳು ಇಲ್ಲದೇ ಸಾಮಾನ್ಯರಂತೆ ಬದುಕುತ್ತಿರುವ ವ್ಯಕ್ತಿ
ದೈಹಿಕವಾಗಿ ಮತ್ತು ಮಾನಸಿಕವಾಗಿ ದೃಢವಾಗಿರಲು ಮನುಷ್ಯನಿಗೆ ಮೆದುಳು ಪ್ರಮುಖವಾದುದು ಮತ್ತು ಮಹತ್ಚದ ಅಂಗ ಎಂಬುದು ಎಲ್ಲರಿಗೂ ತಿಳಿದಿರುವ ವಿಷಯ. ಆದ್ರೆ ಇಂತಹ ನಂಬಿಕೆಗೆ ಮತ್ತು ವೈದ್ಯಕೀಯ ಹೇಳಿಕೆಗಳಿಗೂ ಫ್ರಾಂನ್ಸ್ನ ವ್ಯಕ್ತಿಯೊಬ್ಬರು ಚಾಲೆಂಜ್ ಎಸೆದಿದ್ದಾರೆ.
ಆ ಚಾಲೆಂಜ್ ಎನಂದ್ರೆ ಫ್ರಾನ್ಸ್ನ ವ್ಯಕ್ತಿಗೆ ಶೇಕಡ 90 ರಷ್ಟು ಮೆದುಳು ಇಲ್ವೇ ಇಲ್ಲ. ಆದರೂ ಸಹ ಈತ ಎಲ್ಲರಂತೆ ಜೀವನ ನಡೆಸುತ್ತಿದ್ದಾನೆ ಮತ್ತು ಹೆಂಡತಿ, ಮಕ್ಕಳೊಂದಿಗೆ ಸುಖವಾಗಿದ್ದಾನೆ. ಅಲ್ಲದೇ ಈತ ಸರ್ಕಾರಿ ನೌಕರಿಯಲ್ಲಿದ್ದಾನೆ. ಅದ್ ಹೇಗ್ ಸಾಧ್ಯ ಅಂತ ಪ್ರಶ್ನೆ ಕೇಳುವವರೆಲ್ಲಾ ಈ ಬಗ್ಗೆ ವಿಶೇಷ ಮಾಹಿತಿಯನ್ನು ಲೇಖನದ ಸ್ಲೈಡರ್ ಕ್ಲಿಕ್ಕಿಸಿ ಓದಿರಿ.
18 ತಿಂಗಳು ಹೃದಯವಿಲ್ಲದೇ ಬದುಕಿದ ಯುವಕ!!

ದಿ ಲ್ಯಾನ್ಸೆಟ್
ಫ್ರಾಂನ್ಸ್ ವ್ಯಕ್ತಿಗೆ ಶೇಕಡ 90 ರಷ್ಟು ಮೆದುಳು ಇಲ್ಲದಿರುವ ಬಗೆಗಿನ ಅಧ್ಯಯನ ವರದಿ ಬ್ರಿಟನ್ನ ಮೆಡಿಕಲ್ ನಿಯತಕಾಲಿಕೆ 'ದ ಲ್ಯಾನ್ಸೆಟ್'ನಲ್ಲಿ ಪ್ರಕಟವಾಗಿದೆ.

ಮೆದುಳು ಇಲ್ಲದಿರುವ ಬಗ್ಗೆ ತಿಳಿದಿದ್ದು ಹೇಗೆ?
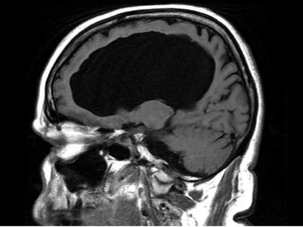
ಬ್ರಿಟನ್ನ ಮೆಡಿಕಲ್ ನಿಯತಕಾಲಿಕೆ ' ದ ಲ್ಯಾನ್ಸೆಟ್' ಪ್ರಕಾರ ''44 ವರ್ಷದ ಫ್ರೆಂಚ್ ವ್ಯಕ್ತಿಯು ತನ್ನ ಎಡಗಾಲಿನ ದೌರ್ಬಲ್ಯದ ಬಗ್ಗೆ ತೋರಿಸಿಕೊಳ್ಳಲು ಡಾಕ್ಟರ್ ಬಳಿ ಹೋಗಿದ್ದ. ವೈದ್ಯರು ಕಾಲಿನ ದೌರ್ಬಲ್ಯಕ್ಕೆ ಮೂಳೆಗಳ ಯಾವುದೇ ಕಾರಣವನ್ನು ಪತ್ತೆ ಮಾಡಲು ಸಾಧ್ಯವಾಗದಿದ್ದಾಗ, ಮೆದುಳನ್ನು ಹತ್ತಿರದಿಂದ ನೋಡಲು ಮ್ಯಾಗ್ನೆಟಿಕ್ ರೆಸೋನೆನ್ಸ್ ಇಮೇಜಿಂಗ್ ತೆಗೆದರು. ಮೆದುಳಿನ ತುಂಬಾ ಹತ್ತಿರದ ಚಿತ್ರ ನೋಡಿದ ವೈದ್ಯರು ಸಂಪೂರ್ಣ ಮೆದುಳು ಇಲ್ಲದಿರುವುದನ್ನು ನೋಡಿ ಶಾಕ್ ಆದರಂತೆ.

ಜಲಮಸ್ತಿಷ್ಕ
ಮೆಡಿಕಲ್ ಇತಿಹಾಸದಲ್ಲಿ ಇದುವರೆಗೂ ನೋಡದ ವೈದ್ಯರುಗಳಾದ 'ಲಿಯೋನೆಲ್ ಫ್ಯೂಲ್ಲೆಟ್, ಹೆನ್ರಿ ಡುಫೊರ್ ಮತ್ತು ಜೀನ್ ಪೆಲ್ಲೆಟಿಯರ್'ರವರು ಆತ ಜಲಮಸ್ತಿಷ್ಕ ರೋಗದಿಂದ ಜನಿಸಿರುವುದನ್ನು ಪತ್ತೆಹಚ್ಚಿದ್ದಾರೆ.

ಮೆದುಳು ನಶಿಸುವಿಕೆ
ಫ್ರೆಂಚ್ ವ್ಯಕ್ತಿಯು ಹುಟ್ಟುತ್ತಾ ಜಲಮಸ್ತಿಷ್ಕ ರೋಗದಿಂದ ಜನಿಸಿದ್ದು, ಆತನ ಮೆದುಳನ್ನು ಷಂಟ್ ದ್ರವವು ನಶಿಸಿರುವಿಕೆಯನ್ನು ಪತ್ತೆ ಮಾಡಿದ್ದಾರೆ.

14 ವರ್ಷದಲ್ಲಿ ಷಂಟ್ ತೆಗೆಯಲಾಗಿದೆ
ವ್ಯಕ್ತಿಯು 14 ವರ್ಷದವನಾಗಿದ್ದಾಗ ಆತನ ಮೆದುಳನ್ನು ನಶಿಸುತ್ತಿದ್ದ ಷಂಟ್ ದ್ರವವನ್ನು ವೈದ್ಯರು ತೆಗೆದಿರುವ ಬಗ್ಗೆ ತಿಳಿಯಲಾಗಿದೆ.

ಸಂಪೂರ್ಣ ಮೆದುಳು ನಶಿಸುವಿಕೆ
ವ್ಯಕ್ತಿಯಲ್ಲಿ ಷಂಟ್ ದ್ರವವು ಹೀಗೆ ಹರಿಯುತ್ತಿದ್ದರೆ ಇರುವ ಶೇಕಡ 10 ರಷ್ಟು ಮೆದುಳನ್ನು ನಶಿಸಿಬಿಡುತ್ತದೆ. ಆದರೆ ವ್ಯಕ್ತಿ ಸಂಪೂರ್ಣ ಚಟುವಟಿಕೆಯುಳ್ಳವನಾಗಿದ್ದು ವೈದ್ಯರು ಕುತೂಹಲ ವ್ಯಕ್ತಪಡಿಸಿದ್ದಾರೆ.

ವ್ಯಕ್ತಿಯ ಕಾರ್ಯವೈಖರಿ
ವ್ಯಕ್ತಿಯು ಸಂಪೂರ್ಣ ಮೆದುಳಿನ ಹಿಪೊಕ್ಯಾಂಪಸ್ ಇಲ್ಲದೇ ಎಲ್ಲಾ ಮಾಹಿತಿಗಳನ್ನು ನೆನಪು ಮಾಡಿಕೊಳ್ಳುತ್ತಾನೆ. ಸಂಪೂರ್ಣ ಗಾತ್ರದ ಹಿಪೊಕ್ಯಾಂಪಸ್ ಇಲ್ಲದೇ ದೇಹದ ಉಷ್ಣತೆಯನ್ನು ನಿಯಂತ್ರಿಸುತ್ತಾರೆ. ಸಾಮಾನ್ಯ ಹಿಮ್ಮೆದುಳು ಇಲ್ಲದೇ ನಡೆದಾಡುತ್ತಾರೆ. ಇದು ವೈದ್ಯಲೋಕವನ್ನು ತಲ್ಲಣಗೊಳಿಸುವ ಮಾಹಿತಿಯಾಗಿದ್ದು ಹಲವು ಪ್ರಶ್ನೆಗಳನ್ನು ಹುಟ್ಟಿಹಾಕಿದೆ.

ಬುದ್ಧಿಮತ್ತೆಯ ಪ್ರಮಾಣ (Intelligence quotient)
'ವ್ಯಕ್ತಿಯನ್ನು ವೈದ್ಯಕೀಯ ಪರೀಕ್ಷೆಗೆ ಒಳಪಡಿಸಿದಾಗ ಆತನಲ್ಲಿ 'ಬುದ್ಧಿಮತ್ತೆಯ ಪ್ರಮಾಣ (Intelligence quotient)' ಶೇಕಡ 75 ಇದ್ದು, ಕನಿಷ್ಠ ಶೇಕಡ 100 ಕ್ಕೆ ಕಡಿಮೆ ಇದೆ. ಆದರೆ ಅತಿ ಕಡಿಮೆ ಇಲ್ಲ ಎಂದು ಹೇಳಲಾಗಿದೆ.

ಗಿಜ್ಬಾಟ್



Click it and Unblock the Notifications








