
ವಿಜ್ಞಾನ ತಂತ್ರಜ್ಞಾನ


ರಹಸ್ಯವನ್ನೊಳಗೊಂಡಿರುವ ಏಲಿಯನ್ ಲೋಕದ ವಿಚಿತ್ರ ಜೀವಿಗಳು

ಕೊತಕೊತನೆ ಕುದಿಯುತ್ತಿರುವ ಜ್ವಾಲಾಮುಖಿಯ ಫೋಟೋ ತೆಗೆದ ಸಾಹಸಿ

ವಿಜ್ಞಾನಿಗಳಿಗೂ ಸವಾಲೆಸೆದಿರುವ ಬಾಹ್ಯಾಕಾಶ ರಹಸ್ಯಗಳು

ಪ್ರಪಂಚ ಹೇಗೆ ಕೊನೆಗೊಳ್ಳುತ್ತದೆ?

ಭೂಮಿಗೆ ಅಪ್ಪಳಿಸಲಿದೆ ನಿಯಂತ್ರಣ ತಪ್ಪಿದ ಚೀನಾ 'ಸ್ಪೇಸ್ ಸ್ಟೇಷನ್'

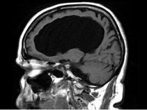
ಮೆದುಳು ಇಲ್ಲದೇ ಸಾಮಾನ್ಯರಂತೆ ಬದುಕುತ್ತಿರುವ ವ್ಯಕ್ತಿ

ವಿಮಾನ ಹಾರುವುದಾದರೂ ಹೇಗೆ? ಈ ವಿಶೇಷ ವೀಡಿಯೊ ನೋಡಿ!

5 ವರ್ಷಗಳ ನಂತರ ಗುರು ಗ್ರಹ ತಲುಪಿದ ನಾಸಾದ 'ಜುನೋ'

ಗರ್ಭಿಣಿ ಶಾರ್ಕ್ನ ಹೊಟ್ಟೆಯೊಳಗೆ ಪತ್ತೆಯಾಯಿತು ಶಾಕಿಂಗ್ ನ್ಯೂಸ್

ರಕ್ತ ಜಲಪಾತ, ಭೂಮಿಯ ಮೇಲಿದೆ ನೀವು ಕಂಡರಿಯದ ಪ್ರಪಾತ



Click it and Unblock the Notifications
Stay Connected